DAY
2021-07-16 17:23
患者通过平台咨询我们。
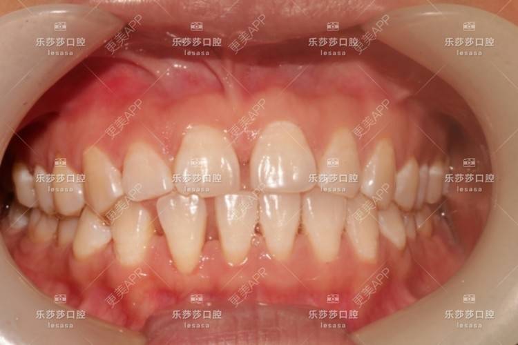
牙缝过大,中线不齐,导致不敢大笑,希望能以美观为主,进行矫正。
我们的王瑛主任给安排了时代天使隐形矫正~
牙缝过大,中线不齐,导致不敢大笑,希望能以美观为主,进行矫正。
我们的王瑛主任给安排了时代天使隐形矫正~

精彩评论(0)