DAY
2021-07-16 17:25
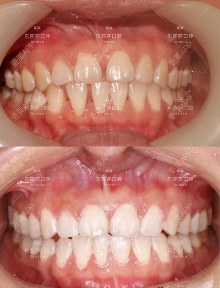
经过见面多时间矫正,牙齿效果对比超级明显~👏👏
同时患者进行皓齿美白的项目~
结果非常满意!
同时患者进行皓齿美白的项目~
结果非常满意!
变美过程容易踩雷?
问美学顾问,帮你安心变美

北京渡曼万柳医疗美容门诊部

深圳佳颜医疗美容诊所

光合盐(北京)医疗美容诊所

广州丽人医疗美容

北京梅朵医疗美容诊所

广州艺星医疗美容医院

深圳伽美贝拉医疗美容门诊部

上海KOYO蛋白好漾医美

上海鹏爱医疗美容门诊部

上海虹桥医院(私密整形中心)
精彩评论(0)