DAY
2019-04-04 17:47
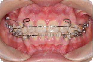
【柏乐口腔牙齿矫正】刚刚上牙套。真的不舒服。
变美过程容易踩雷?
问美学顾问,帮你安心变美

北京圣贝口腔
【隐形牙齿矫正】【进口种植牙】新客专享 进口种植牙/送全瓷牙/牙美白 耐用
成都 ¥5980起
【隐形牙齿矫正】【医保单位】上海宏康医院口腔科时代天使隐形矫正
上海 ¥26888起
精彩评论(0)