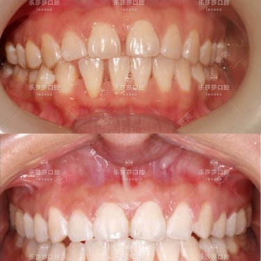
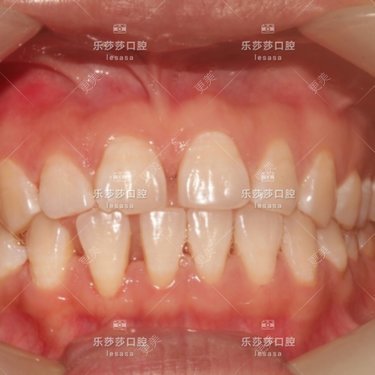
变美过程容易踩雷?

问美学顾问,帮你安心变美

不在提醒
乐莎莎口腔医生

乐莎莎口腔

深圳市福田区华强北街道福强社区振华路中电迪富大厦2层206-210

用手机APP与医生沟通

乐莎莎口腔医生

乐莎莎口腔

None

擅长:口腔齿科

简介:乐莎莎口腔

地址:深圳市福田区华强北街道福强社区振华路中电迪富大厦2层206-210

更美提示: 本页面内信息由医院 / 医生/ 用户发布并对信息的真实性及合法性负责,如您对信息真实性及合法性有质疑,请联系我们